下顎前突、上顎前突、叢生などの矯正歯科治療症例

アクアタウン歯科クリニック 国際センター駅・伏見駅

Orthodontics Case

矯正治療症例

  1. HOME
  2. 矯正治療症例

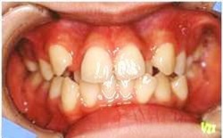
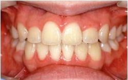
Case.01 下顎前突(受け口)

  1. 下顎前突・受け口1治療前

  2. 下顎前突・受け口1治療後

Case.02 下顎前突(受け口)

  1. 下顎前突・受け口2治療前

  2. 下顎前突・受け口2治療後

Case.03 上顎前突(出っ歯)

  1. 上顎前突・出っ歯1治療前

  2. 上顎前突・出っ歯1治療後

Case.04 上顎前突(出っ歯)

  1. 上顎前突・出っ歯2治療前

  2. 上顎前突・出っ歯2治療後

Case.05 叢生(乱杭歯)

  1. 叢生・乱杭歯1治療前

  2. 叢生・乱杭歯1治療後

Case.06 叢生(乱杭歯)

  1. 叢生・乱杭歯2治療前

  2. 叢生・乱杭歯2治療後